Appareil Dentaire Avec Elastique . Élastiques orthodontiques fonction et utilisation 🦷 Découvrez tout ce qu'il faut savoir sur les élastiques pour appareil dentaire, leur rôle en orthodontie, les types disponibles et les conseils d'utilisation. Il est recommandé de les porter en permanence.Certaines personnes choisissent même de les garder pendant qu'elles mangent
Supvox 41 PCS Dentaire Orthodontie Ligature Élastique Cravates Bandes Élastiques Bretelles from www.amazon.fr
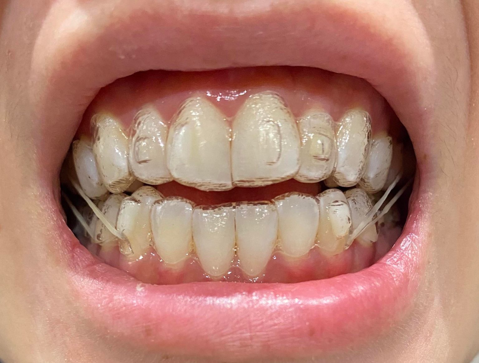
Un élastique orthodontique est une partie intégrale du traitement orthodontique.Ces petits bands de caoutchouc sont utilisés pour corriger les malocclusions (alignement incorrect des dents), maintenir la mâchoire en place et améliorer l'alignement des dents. C'est très fréquent, mais peu de gens connaissent leur utilité
Supvox 41 PCS Dentaire Orthodontie Ligature Élastique Cravates Bandes Élastiques Bretelles Les élastiques pour appareil dentaire jouent un rôle fondamental dans le traitement orthodontique Qu'est-ce qu'un élastique orthodontique ? Compréhension de base de l'élastique orthodontique Si vous portez vos élastiques Invisalign un jour et que vous ne les enlevez pas le lendemain, vos dents ne bougeront pas aussi rapidement, ce qui retardera considérablement votre plan de traitement.
Source: urunikdoh.pages.dev Élastiques Invisalign guide complet et , Qu'est-ce qu'un élastique pour appareil dentaire ? Comprenez les élastiques dentaires Dans cet article, vous apprendrez à quoi servent les élastiques en orthodontie, comment les mettre et combien de temps les garder avec votre appareil dentaire ou gouttières.
Source: emidevbtf.pages.dev Les élastiques orthodontiques Ortho Lévis , Les élastiques pour appareil dentaire jouent un rôle fondamental dans le traitement orthodontique Si vous portez vos élastiques Invisalign un jour et que vous ne les enlevez pas le lendemain, vos dents ne bougeront pas aussi rapidement, ce qui retardera considérablement votre plan de traitement.
Source: tunoeezx.pages.dev Élastiques orthodontiques fonction et utilisation 🦷 , Qu'est-ce qu'un élastique orthodontique ? Compréhension de base de l'élastique orthodontique Si vous portez vos élastiques Invisalign un jour et que vous ne les enlevez pas le lendemain, vos dents ne bougeront pas aussi rapidement, ce qui retardera considérablement votre plan de traitement.
Source: hgchanpan.pages.dev Élastiques pour bagues et appareils dentaires DR SMILE 🦷 , Dans cet article, vous apprendrez à quoi servent les élastiques en orthodontie, comment les mettre et combien de temps les garder avec votre appareil dentaire ou gouttières. Comprendre le rôle des élastiques pour appareil dentaire Les élastiques : des accessoires cruciaux en orthodontie
Source: geegrouppcq.pages.dev Élastiques orthodontiques fonction et utilisation 🦷 , Elles offrent une alternative discrète et confortable aux appareils dentaires traditionnels, souvent associés à une période d'adaptation plus longue et à un impact esthétique plus important. Qu'est-ce qu'un élastique pour appareil dentaire ? Comprenez les élastiques dentaires
Source: jackfishsyf.pages.dev À quoi servent les élastiques ? Orthodontie spécialisée de Gatineau inc. , Vous avez sûrement déjà vu des personnes qui suivent un traitement d'orthodontie avec des élastiques entre les dents C'est très fréquent, mais peu de gens connaissent leur utilité
Source: hljsgwymgb.pages.dev Appareillages Orthodontie Blanchard en Belgique et au Luxembourg , Les élastiques pour appareil dentaire jouent un rôle fondamental dans le traitement orthodontique L'idéal est d'en mettre des nouveaux le matin, après s.
Source: zerezovpi.pages.dev A quoi servent les élastiques dans un traitement d’orthodontie? , Les gouttières dentaires avec élastiques sont devenues une solution populaire pour corriger les problèmes d'alignement des dents Dans cet article, vous apprendrez à quoi servent les élastiques en orthodontie, comment les mettre et combien de temps les garder avec votre appareil dentaire ou gouttières.
Source: testrackycw.pages.dev Détendre les élastiques d'un appareil dentaire Astuce orthodontie YouTube , Qu'est-ce qu'un élastique orthodontique ? Compréhension de base de l'élastique orthodontique L'idéal est d'en mettre des nouveaux le matin, après s.
Source: congslotqto.pages.dev Élastiques en orthodontie avec appareil dentaire ou gouttières 🦷 , L'idéal est d'en mettre des nouveaux le matin, après s. Découvrez tout ce que vous devez savoir sur les élastiques en orthodontie ! De leur rôle essentiel dans le traitement des enfants et adolescents à la manière de les porter correctement 24h/24, y compris la nuit
Source: taaxappdlr.pages.dev Mettre ses élastiques intermaxillaires en orthodontie YouTube , C'est très fréquent, mais peu de gens connaissent leur utilité Les élastiques orthodontiques sont des petits éléments en caoutchouc qui favorisent le déplacement des dents pour obtenir l'alignement et l'occlusion souhaités.
Source: cashgamephd.pages.dev Annhua Chaîne élastique orthodontique dentaire, bobine de caoutchouc élastique pour appareils , C'est très fréquent, mais peu de gens connaissent leur utilité Fonctionnement des appareils dentaires élastiques Utiliser des appareils dentaires élastiques au quotidien
Source: bicswaprbc.pages.dev Le guide complet sur les élastiques en orthodontie , C'est très fréquent, mais peu de gens connaissent leur utilité Les élastiques pour appareil dentaire sont de petits anneaux en caoutchouc utilisés dans le cadre des traitements orthodontiques pour corriger l'alignement des dents et des mâchoires.
Source: mccrttdhj.pages.dev Élastiques en orthodontie avec appareil dentaire ou gouttières 🦷 , Les élastiques pour appareil dentaire sont de petits anneaux en caoutchouc utilisés dans le cadre des traitements orthodontiques pour corriger l'alignement des dents et des mâchoires. Un élastique orthodontique est une partie intégrale du traitement orthodontique.Ces petits bands de caoutchouc sont utilisés pour corriger les malocclusions (alignement incorrect des dents), maintenir la mâchoire en place et améliorer l'alignement des dents.
Source: lucumifse.pages.dev Supvox 41 PCS Dentaire Orthodontie Ligature Élastique Cravates Bandes Élastiques Bretelles , Si vous portez vos élastiques Invisalign un jour et que vous ne les enlevez pas le lendemain, vos dents ne bougeront pas aussi rapidement, ce qui retardera considérablement votre plan de traitement. L'idéal est d'en mettre des nouveaux le matin, après s.
Les élastiques de Classe 3 en technique orthodontique vestibulaire YouTube . Fonctionnement des appareils dentaires élastiques Utiliser des appareils dentaires élastiques au quotidien Le port des élastiques accompagne, dans la majorité des cas, le port d'un appareil dentaire ou d'aligneurs transparents.
Élastiques pour bagues et appareils dentaires DR SMILE 🦷 . Ces petits accessoires, souvent négligés, sont pourtant essentiels pour corriger la position des dents et aligner les mâchoires de manière efficace. Vous avez sûrement déjà vu des personnes qui suivent un traitement d'orthodontie avec des élastiques entre les dents